
Внедрение рентгенограммы является всераспространенным способом обнаружения задачи артрита. Травмы могут включать переломы, вывих суставов и т.п. Износ и трение суставов делает кошек более восприимчивыми к остеоартриту.Травматический артрит: эта форма артрита является результатом внезапной травмы суставов. Такие случаи, как падение с высоты неловким образом и другие подобные серьезные травмы являются причиной проблемы травматического артрита у кошки.
Матакам — это лекарство, которое попадает в категорию нестероидных противовоспалительных лекарств. Ветеринарами поднимаются вопросы относительно безопасности таких лекарств.Поэтому рекомендуется использовать дозы матакама и других подобных препаратов исключительно в первые некоторое количество дней, чтобы уменьшить боль, которую испытывают кошки. Более подробная информация о лечении артрита у кошек также должна оказаться полезной.
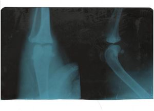
Рентгенограмма помогает увидеть суставы и, таким макаром, получается более полное представление о каких-либо проблемах. И хотя рентгенограммы помогают в диагностике проблемы артрита, проведение анализов крови также полезно для исключения возможности наличия других проблем со здоровьем.
Типы артрита у кошек
Артрит у кошки: лечение
Лечение этой проблемы со здоровьем используется не для полного излечения, а для минимизирования боли / воспаления. Лекарства, даваемые кошкам в виде диетической добавки, включают омега-3 жирные кислоты, хондроитин и глюкозамин.
Трамадол является еще одним из лекарств для кошек.Остеоартрит: при остеоартрите происходит новый рост кости вокруг сустава. Вместе с этим, хрящи начинают ухудшаться. Суставы, которые могут пострадать от данной проблемы, включают локтевые и плечевые суставы. Травмы в результате несчастных случаев усугубляют эту проблему.
Проблема артрита у кошек обсуждается в статье с точи зрения симптомов, диагностики и лечения. Следует должным образом заботиться о здоровье кошки, если вышеупомянутые симптомы не выявлены.
Похожие статьи:
Энциклопедия животных → Болезни суставов у собак. - ч. 2
Фотогалерея → Собака Йаккина. - ч. 5
Животные и город → Наследственные болезни собак: Дисплазия тазобедренного... - ч. 2
Фотогалерея → Дисплазия тазобедренного сустава. - ч. 6
Животные и город → Бассет хаунд. - ч. 4